E-posta :
  Şifre :
    ► Üye olmak istiyorum
    ► Şifremi Unuttum

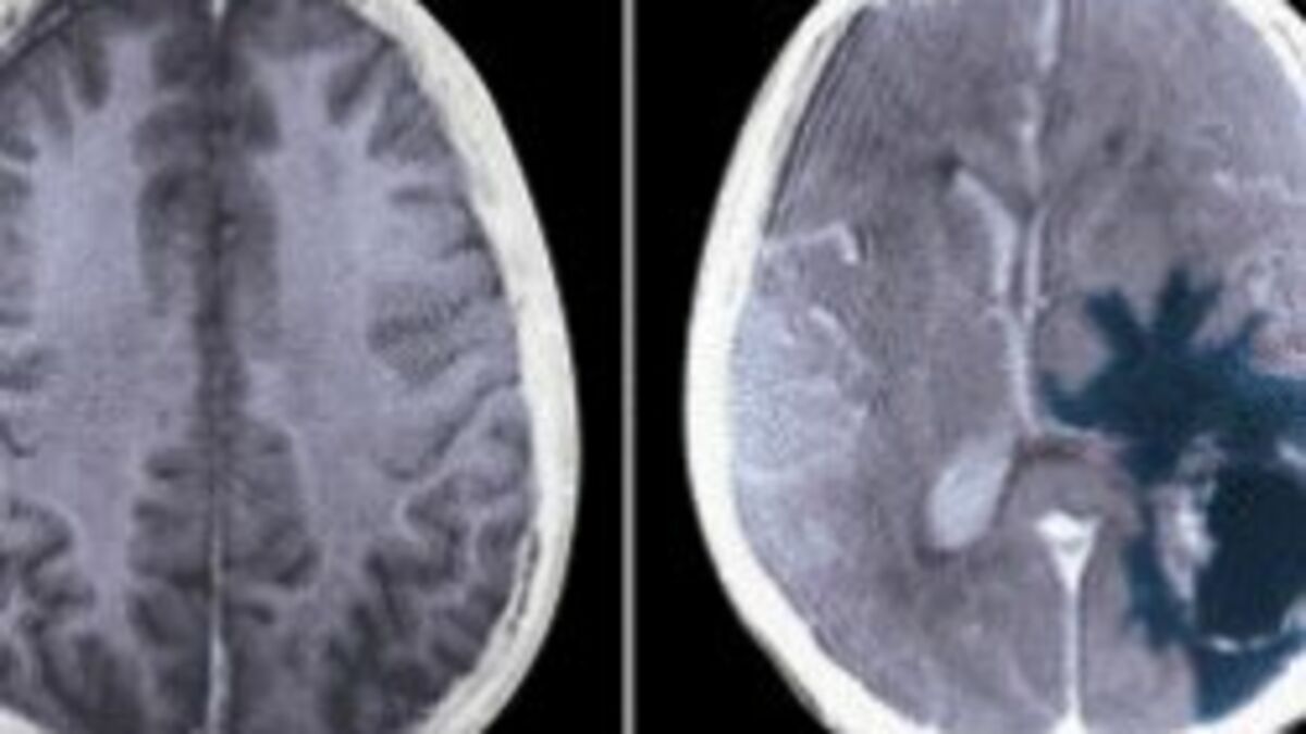
10 yıl beyin tümörüyle yaşadığını öğrendi: “Elektrik çarpması gibi” 

üzünün sağ tarafında elektrik çarpmasına benzer bir ağrı ile uyanan 2 çocuk annesi kadın, beyin tümörüne sahip olduğunu öğrenince şok oldu.

5.05.2023 - 12:39
10 yıl beyin tümörüyle yaşadığını öğrendi: “Elektrik çarpması gibi”

Kanada’nın Montreal kentinde yaşayan Andreea Vanacker isimli bir kadına, yüzünün belirli bir tarafında duyduğu ağrıların sebebinin 10 yıldır sessizce büyüyen bir beyin tümörü olduğu söylendi.

Doktorlar, ağrının kafatasının içindeki büyük, iyi huylu bir tümörün yüz kaslarını kontrol etmekten sorumlu sinire baskı yapmasından kaynaklandığını söylerken Vanacker, yaşadığı ağrının bir sabah uyarı vermeden ortaya çıktığını ve konuşmaya, gülmeye hatta yemek yemeye çalıştığında da ortaya çıktığını söyledi.

Tümör, doktorların kafatasının bir kısmını çıkarmak ve beyni kesmek zorunda kaldığı bir ameliyatla alındı. Tümörün tümü çıkartıldı ancak Vanacker gücünü geri kazanmasının bir yıl sürdüğünü söyledi.

SAĞLIKLI BİR HAYAT YAŞADIĞINI SANIYORDU
Bir yönetim danışmanlığı firmasının CEO’su olan Vanacker, alkol ve kahveden uzak durmak, düzenli egzersiz yapmak ve her gece en az yedi saat uyumak gibi sağlıklı yaşam tarzıyla gurur duyduğunu söyledi. Bu nedenle, Temmuz 2020’de vücudunda bir tümör olduğunu öğrenmek onun için şok etkisi yarattı. 

Yüz kaslarımı her hareket ettirdiğimde yüzümün sağ tarafında elektrik çarpması gibi hissedilen yoğun bir ağrı yaşıyordum.” diyen Vanacker, hemen doktora gitti.

Sonraki günlerde ağrının çok kötüleştiğini ve yüz kaslarını hareket ettirmeye bile korktuğunu söyleyen kadın, dengesiyle ilgili sorunlar yaşamaya başladığını da ekledi.

Riskli ve dokuz saat süren ameliyatın ardından sağlığına kavuşan Vanacker, yaşadıklarını beyin tümörlerine dikkat çekmek ve başkalarını uyarmak için paylaşıyor.

Tümörler yavaş büyüyebilirler, yani semptomların ortaya çıkması yavaştır. Belirtileri arasında baş ağrıları, bulanık görme, bir uzuvda his veya hareket kaybı ve denge sorunu yer alır.

ABD’de tahminen 700.000 kişi, kanserli olmayan ve diğer organlara yayılmayan iyi huylu bir beyin tümörü ile yaşıyor. Veriler, iyi huylu beyin tümörü olan 20 hastadan 19’undan fazlasının teşhis konulduktan sonra beş yıldan fazla hayatta kaldığını gösteriyor.

ETİKETLER:
Sağlık , Beyin Tümörü
YORUMLAR
 Onay bekleyen yorum yok.
Üye girişi yapmadınız. Misafir olarak yorum ekleyebilirsiniz. Üye olmak için tıklayın.
  Yorumcuların dikkatine…

İmlası çok bozuk,
Büyük harfle yazılan,
Habere değil yorumculara yönelik,
Diğer kişilere hakaret niteliği taşıyan,
Argo, küfür ve ırkçı ifadeler içeren,
Bir iki kelimelik, konuyu zenginleştirmeyen,

yorumlar KESİNLİKLE YAYIMLANMAYACAKTIR.

Bu haber henüz yorumlanmamış...

KATEGORİDEKİ DİĞER HABERLER
Veganlara dikkat çeken uyarı: Et ve süt ürünlerinin tüketimi insanlar için önemli!
Birleşmiş Milletler Gıda ve Tarım Örgütü, et, yumurta ve süt içeren bir ...
Bakan Koca'dan Samsun Şehir Hastanesi açıklaması
Sağlık Bakanı Fahrettin Koca, kaba inşaatı tamamlanmak üzere olan Samsun ...
Alzheimer hastalığının ilerlemesini üçte bir yavaşlatan ilaç bulundu!
Yeni bulunan bir ilacın Alzheimer tedavisinde kısmi başarı sağladığı ve ...
 
Dünyanın ilk RSV aşısı onay aldı!
ABD Gıda ve İlaç İdaresi (FDA), dünyanın ilk Respiratuvar Sinsityal Virüs ...
Karadeniz'de mantar hasadı başladı: Uzmanından 'ölüm meleği' mantarı uyarısı!
Tokat Gaziosmanpaşa Üniversitesi Fen Edebiyat Fakültesi Biyoloji Bölüm ...
Ölüm nedenleri sıralamasında bu hastalıklar başı çekiyor!
Son zamanlardan artan kalp hastalıkları hakkında önemli açıklamalarda ...
 
Sabahları bunu yapan kalp krizi geçiriyor!
Uzmanlar, sabahları yaşanan bazı değişimlerin önemsenmesi gerektiğinin ...
Canan Karatay uyardı: Zeytini böyle yerseniz kısır kalırsınız!
Canan Karatay uyardı: Zeytini böyle yerseniz kısır kalırsınız!
Covid-19 bitti diye düşünmeyin! Hafif atlatılsa bile...
Maske-mesafe ve hijyen kuralları pandemi öncesine geriledi, Covid-19 geri ...
 
SOSYAL MEDYADA TAKİP ET
FACEBOOK'TA TURKTIME
TWITTER'DA TURKTIME
 
KATEGORİLER
FOTO GALERİ
VİDEO GALERİ
ETİKETLER
  •KÜNYE
  •İLETİŞİM
  •REKLAM
 
 
  •Güncel
  •Siyaset
  •Dünya
  •Medya
  •Magazin
  •Spor
  •Kültür
  •Sağlık
  •Ekonomi
  •Dünya
  •Spor
  •Kültür
  •Ekonomi
  •Sağlık
  •Medya
  •Siyaset
  •Güncel
  •Dünya
  •Spor
  •Kültür
  •Ekonomi
  •Sağlık
  •Medya
  •Siyaset
  •Güncel
  •Aktüel
Avrupa Ligi
abd
Euro
Kızılyıldız
ygs puan hesaplama
Endonezya
poyraz karayel
A) Milli Futbol Takımı
kardemir karabükspor