Gazlı içecek bağımlısı adamın tüm dişleri çürüdü
1 / 16

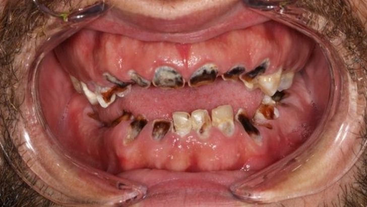
27 dişi birden çürüyerek yok olan Micheal isimli adam, gazlı içecek bağımlılığı yüzünden 10 yıl boyunca diş ağrısı çekti.
2 / 16

Sonunda bu durumu değiştirmeye karar veren Micheal, soluğu bir implant doktorunda aldı.
3 / 16

7 dişi birden çekilerek yerine implant diş takılan Micheal, sonunda ağrılarından kurtuldu ve iyi bir görünüme sahip oldu.
4 / 16

50 bin avroluk masrafsa doktoru tarafından karşılandı. 32 yaşındaki Micheal, yaşadığı zor günleri şu sözlerle anlattı:
5 / 16

'Sürekli yumuşak besinlerle besleniyordum. Çünkü canım çok yanıyordu. Ama asitli içecek içmeyi bırakamıyordum. Eşimle yemek yediğimde canım çok yanıyordu. Doktorların asitli içeceği bırakmamı söyleyeceğini bildiğim için tedavi olmayı reddediyordum. Şimdi bu durumu aştım ve beslenme uzmanının tavsiyeleri doğrultusunda hareket ediyorum.'
6 / 16

7 / 16

8 / 16

9 / 16
BU YANLIŞLAR DİŞ ÇÜRÜTÜYOR

Sağlıklı bir vücut için ağız ve diş sağlığının önemi göz ardı edilemez.</p><p>Ancak doğru bilinen birçok yanlış düşünce insanlarda kafa karışıklığına yol açıyor. Ağız ve diş sağlığına ilişkin doğru bilinen yanlışların bazılarını Diş Hekimi Murat Zogun anlattı.
10 / 16

SERT DİŞ FIRÇASI DİŞLERİ BEYAZLATIR
Kesinlikle yanlış. Çünkü önemli olan fırçanın sertliği değil, fırçalama tekniğidir. Diş fırçası, sentetik kıldan yapılma olmalıdır. Kişiye uygun diş fırçalarını konusunda diş hekimleri hastalarını bilgilendirirler.
11 / 16

Doğru teknikle, düzenli olarak fırçalamak ağız ve diş bakımı açısından oldukça önemlidir. Diş beyazlatma; çeşitli nedenlerle renk değiştirmiş veya kişiye özel diş rengini bir kaç ton açmak için dişlerin yüzeyindeki gözenekli mine yapısında oluşan renkli organik ve inorganik maddelerin diş beyazlatma jelleri ile çözünmesi işlemidir. Bu nedenle dişlerin beyazlatılması da ancak diş hekimin uyguladığı yöntemle ya da ev tipi diş beyazlatma ile sağlanabilir.
12 / 16
DÜZENLİ DİŞ FIRÇALAMAK İYİ BİR AĞIZ BAKIMI İÇİN YETERLİ Mİ?

Ağız bakımı için sadece diş fırçalamak yetersiz kalır. Dişler ağız yüzeyinin yalnızca yüzde 25'ini kapladığı için, kalan yüzde 75'lik ağız yüzeyi fırça ve diş ipiyle yapılan temizlikten belli bir oranda yarar görüyor.
13 / 16

Ulaşılamayan yüzeylerdeki bakteriler hızla çoğalarak dişlerin üzerine ve tüm ağıza yeniden yayılıyor. Bu sebeple bakteri plağına karşı etkili ve sürekli kullanıma uygun bir ağız gargarası, diş fırçası ve diş ipi ile günlük, etkin bir ağız temizliği yapılabiliyor.
14 / 16
HER HAMİLELİKTE BİR DİŞ KAYBEDİLEBİLİR

Anne adayında yetersiz kalsiyum alımı veya yeme bozukluğu varsa bebekler bu eksiği annenin kemiklerinden aldıkları kalsiyum ile gidermeye çalışırlar. Ancak dişlerden kalsiyum çözülmesi gibi bir durum kesinlikle doğru değildir. Hamilelikte meydana gelen diş kayıpları çoğunlukla annenin ağız bakımındaki ihmallerinden kaynaklanmaktadır.
15 / 16

Hamilelik sırasında diş fırçalama, diş ipi ve üç ayda bir hekim kontrolü tavsiye ediliyor. İlk ve üçüncü üç ayda acil olmayan diş tedavilerinden kaçınmak gerekiyor. Ağız bakımlarını doğru ve düzenli yapan bir anne adayı için böyle bir durum söz konusu değildir
16 / 16
DİŞ TAŞLARINI RUTİN TEMİZLETMEYE GEREK YOKTUR

Diş taşı temizliğinde diş yüzeyine ait olmayan maddeler (plak, diş taşı) temizlenir. Yani diş taşı temizliği yapılmış ya da yapılmamış olsun ağız ve diş bakımı yapılmadığı sürece diş taşlarının oluşumu kaçınılmazdır. Tabii ki düzenli ve doğru fırçalama diş taşı oluşumunun önüne geçiyor. Ancak oluşmuş diş taşlarının mutlaka hekim tarafından temizlenmesi gerekiyor. Bu temizliğinde rutin olarak 6 ayda bir yaptırılması gerekiyor.
|
Yorumcuların dikkatine… • İmlası çok bozuk, • Büyük harfle yazılan, • Habere değil yorumculara yönelik, • Diğer kişilere hakaret niteliği taşıyan, • Argo, küfür ve ırkçı ifadeler içeren, • Bir iki kelimelik, konuyu zenginleştirmeyen, yorumlar KESİNLİKLE YAYIMLANMAYACAKTIR. |
Bunlar da ilginizi çekebilir...