E-posta :
  Şifre :
    ► Üye olmak istiyorum
    ► Şifremi Unuttum

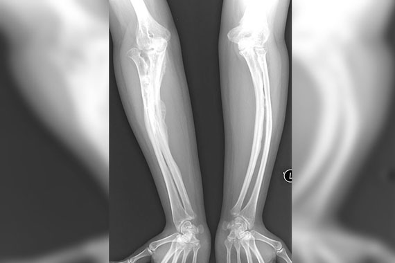
Cam kemik için umut ışığı! 

Türk bilim insanları cam kemik hastalığına neden olan bir gen keşfetti. Bu gen sayesinde yeni bir ilaç üretilmesi mümkün olabilecek.

15.01.2023 - 11:53
Cam kemik için umut ışığı!

İsminden de anlaşıldığı gibi kemiklerin adeta cam gibi kırılgan olduğu bir sağlık sorunu olan cam kemik hastalığının tedavisi için yeni bir umut doğdu. Türk bilim insanlarının yaptığı bir araştırmada cam kemik hastalığına neden olan bir gen keşfedildi. Bu gen sayesinde yeni bir ilaç üretilmesi mümkün olabilecek.

Kemikler adeta cam gibi kırılgan oluyor. Bu hastalıktan muzdarip kişilerin hayat kalitesi işkenceye dönüşebiliyor. 1990’lı yıllarda başlayan DNA çalışmalarının ardından dünya artık genetik tedavilere yöneldi. Dünyada 10 binde bir kişide görülen cam kemik hastalığı için de birçok çalışma yapıldı.

Cerrahpaşa Tıp Fakültesi Çocuk Genetik Bilim Dalı Başkanı Profesör Doktor Beyhan Tüysüz ve ekibi özel bir çalışma yaptı. Yaptıkları çalışmayla cam kemik hastalığına neden olan yeni bir tipi ve yeni bir geni keşfetti. Yapılan çalışma, cam kemik hastaları için tedavi umudu oldu.

Araştırma önce genişletildi, ardından yayımlandı. Devrim niteliği taşıyan gen keşfi öncelikle "cam kemik" hastalığı tespitinde kullanılacak. İstanbul Üniversitesi Cerrahpaşa Fakültesi laboratuvarında yapılan bu araştırmanın genişletilerek cam kemik hastaları için umut olması bekleniyor.

KAYNAK: CNN TÜRK

YORUMLAR
 Onay bekleyen yorum yok.
Üye girişi yapmadınız. Misafir olarak yorum ekleyebilirsiniz. Üye olmak için tıklayın.
  Yorumcuların dikkatine…

İmlası çok bozuk,
Büyük harfle yazılan,
Habere değil yorumculara yönelik,
Diğer kişilere hakaret niteliği taşıyan,
Argo, küfür ve ırkçı ifadeler içeren,
Bir iki kelimelik, konuyu zenginleştirmeyen,

yorumlar KESİNLİKLE YAYIMLANMAYACAKTIR.

Bu haber henüz yorumlanmamış...

KATEGORİDEKİ DİĞER HABERLER
Sosyal medya diyetlerine dikkat!
Diyetisyen Rümeysa Karakaya, vatandaşları sosyal medyada görerek uyguladıkları ...
Bulaşıcılığı yüksek, etkisi hafif
Covid-19 virüsü hızla yayılan yeni bir varyantla yeniden gündemde. XBB ...
Grip vakaları arttı: Uzmanlardan yarıyıl tatili uyarısı
Ülkemizde gribal enfeksiyonlardan kaynaklı artan vakalar sonrası profesörden ...
 
AB'nin sağlık kuruluşundan 'kraken' açıklaması
Avrupa Hastalık Önleme ve Kontrol Merkezi (ECDC), Covid-19 hastalığına ...
Osman Müftüoğlu yazdı: Kalbimiz derdini nasıl anlatıyor?
Hürriyet yazarı Prof. Dr. Osman Müftüoğlu, Covid-19 dönemi sonrası sağlık ...
Adenovirüs vakalarında artış
Solunum yolları enfeksiyonlarına bağlı olarak adenovirüs vakalarında da ...
 
Dikkat! Böbrek kanseri sinsi geliyor!
Böbrek kanserleri erken evrede genellikle herhangi bir şikayete yol açmayarak ...
2022'de 422 sağlık çalışanı şiddete maruz bırakıldı!
2022'de 422 sağlık çalışanı şiddete maruz bırakıldı!
'Madde bağımlıları ilaçsız bırakıldı' iddialarına TİTCK'ten açıklama geldi
Bağımlılık ile mücadelede kullanılan bir ilacın Yurt Dışı İlaç Listesi’nden ...
 
SOSYAL MEDYADA TAKİP ET
FACEBOOK'TA TURKTIME
TWITTER'DA TURKTIME
 
KATEGORİLER
FOTO GALERİ
VİDEO GALERİ
ETİKETLER
  •KÜNYE
  •İLETİŞİM
  •REKLAM
 
 
  •Güncel
  •Siyaset
  •Dünya
  •Medya
  •Magazin
  •Spor
  •Kültür
  •Sağlık
  •Ekonomi
  •Dünya
  •Spor
  •Kültür
  •Ekonomi
  •Sağlık
  •Medya
  •Siyaset
  •Güncel
  •Dünya
  •Spor
  •Kültür
  •Ekonomi
  •Sağlık
  •Medya
  •Siyaset
  •Güncel
  •Aktüel
Tayyip Erdoğan
işte benim stilim
voleybol
uzaktan çalışma
Slaven Bilic
Çanakkale Savaşı
ygs sınav sonuçları
terör
kılıçdaroğlu